TTA- Operation

 Kreuzbandriss, eine häufige Verletzung

 

Bei Hunden ist der Riss (Ruptur) des vorderen Kreuzbandes eine häufig diagnostizierte orthopädische Erkrankung und eine der bedeutendsten Ursachen für Lahmheit. Hunde größerer Rassen sind häufiger betroffen als Hunde kleinerer Rassen. Die Ursache für diese Erkrankung ist noch weitgehend ungeklärt. In vielen Fällen verläuft die Ruptur des Kreuzbandes fortschreitend und nicht plötzlich, wie es bei einer Verletzung der Fall ist. Die Integrität der Bandstrukturen nimmt langsam ab und führt zunächst zu einer Überdehnung des Bandes, das seine Zugfestigkeit mehr und mehr verliert. Nach Teilrissen im Band kann letztlich eine leichte Überbeanspruchung des Bandes zu dessen vollständigem Riss führen. Die degenerativen Veränderungen im vorderen Kreuzband nehmen mit fortschreitendem Alter und zunehmendem Körpergewicht des Hundes zu.


 Diagnose

Eine Ruptur des vorderen Kreuzbandes lässt sich oft schon anhand der Symptomatik, das heißt der Art der Lahmheit des betroffenen Tieren, erkennen. Die palpatorische Untersuchung (Schubladentest, Tibiakompressionstest), mit der die Instabilität des Kniegelenkes festgestellt werden kann, gilt als sicherer Nachweis. Bildgebende Verfahren (Röntgen, CT, MRT) können Aufschluss über das Ausmaß der degenerative Veränderungen (Arthrose, Meniskusschäden) geben.


 Therapie

Zur Behandlung der Ruptur des kranialen Kreuzbandes gibt es eine Reihe unterschiedlicher konservativer (medikamentöser und physiotherapeutischer) sowie chirurgischer Verfahren. Sie alle haben die Zielsetzung, im betroffenen Gelenk eine ausreichende Stabilität zu erzielen.

 Konservative Behandlung
Die konservative Behandlung versucht, durch Fütterung, Medikamente und Bewegung eine schmerzfreie Funktion des Kniegelenkes wiederherzustellen. Lediglich bei Hunden unter 10 kg Körpergewicht und bei Katzen kann mit nichtoperativen Therapien ein zufriedenstellendes Ergebnis erreicht werden.

 Operative Behandlung
Zunächst wird das Kniegelenk eröffnet und mit einem Cleaning up („Aufräumen“) die Reste des gerissenen Kreuzbandes und möglicherweise lädierte Meniskusteile entfernt.

Bei den Techniken mit Bandersatz (Kreuzbandplastik) werden körpereigene Bindegewebsstrukturen oder künstliche Bandmaterialien verwendet, um eine Stabilität des Kniegelenkes wieder herzustellen.
Zusätzlich führen Kapselraffungstechniken in den Wochen nach der Operation zu einer Fibrose (bindegewebige Verdickung) der Gelenkkapsel, die das Kniegelenk stabilisiert.

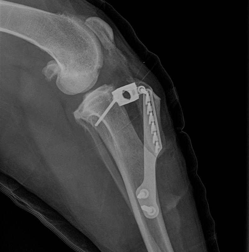
Außerdem wurden in jüngerer Zeit Osteosynthese-Verfahren zur Korrektur von Kreuzbandrissen entwickelt. Hierzu zählen die Tibial Plateau Leveling Osteotomy (TPLO), die Dreifach-Tibia-Osteotomie (triple tibial osteotomy) sowie die Tibial Tuberosity Advancement (TTA). Letztere basiert auf einer Verlagerung des vorderen Schienbeinkamms zusammen mit dem Ansatz des Kniescheibenbandes.

Die TTA ist eine weniger invasive Methode und liefert mit der TPLO vergleichbare Resultate. Wichtig ist die in den meisten Fällen schnelle postoperative Belastung der betroffenen Gliedmaße.
Auch für die TTA ist ein Knochenschnitt (Osteotomie) notwendig, aber nicht im tragenden Teil des Unterschenkels wie bei der TPLO.
Spezielle Platten, Schrauben und Distanzhalter (Cages) aus Titan werden verwendet, um das abgetrennte Knochenteil wieder stabil zu verankern.


Je nach Körpergewicht, Alter und Schweregrad der Arthrose wird zusammen mit Ihnen als Tierbesitzer entschieden, welche Methode bei Ihrem Patienten die erfolgversprechenste ist.

Druckversion | Sitemap
© 2026 Dr. Wagner-Rietschel und Dr. Heilmann

Anrufen

E-Mail

Anfahrt